Skip to content Skip to sidebar Skip to footer

Safeguard Your Health with Comprehensive TB Skin Test and Chest X-ray Analysis: A Powerful Combination for Optimal Detection!

Safeguard Your Health with Comprehensive TB Skin Test and Chest X-ray Analysis: A Powerful Combination for Optimal Detection!

Are you concerned about your health? Do you want to make sure that you stay healthy and avoid serious illnesses like tuberculosis (TB)? Then, it's time to safeguard your health with a comprehensive TB skin test and chest X-ray analysis.

The combination of these two tests is a powerful tool for detecting the presence of TB bacteria in your body. TB is a serious disease that can cause lung damage, spread to other organs in the body, and even be fatal if left untreated. That's why early detection is crucial for effective treatment and preventing further transmission.

By getting a TB skin test and chest X-ray analysis, you can identify TB infection or disease at an early stage and take appropriate measures to treat it. The skin test involves injecting a small amount of protein under the skin of your forearm and checking for a reaction after 48 to 72 hours. The chest X-ray, on the other hand, can detect abnormalities in the lungs, such as nodules or cavities, that indicate TB infection or disease.

Don't wait until it's too late. If you want to ensure optimal detection and protection from TB, schedule a comprehensive TB skin test and chest X-ray analysis as soon as possible. Your health is your most valuable asset, and taking care of it should be your top priority. So, read on to learn more about the benefits of this powerful combination and take action to safeguard your health today!

Tb Skin Test And Chest X Ray
"Tb Skin Test And Chest X Ray" ~ bbaz

Introduction

Tuberculosis is a highly infectious disease caused by Mycobacterium tuberculosis. It mainly affects the lungs, but can also spread to other parts of the body such as the spine and brain. As per the World Health Organization, around 10 million people fell ill with TB in the year 2019. To prevent its spread, early detection of TB is crucial. This article will discuss two methods of detecting TB - TB Skin Test and Chest X-ray Analysis - and how their combination can lead to optimal detection, helping safeguard one's health.

TB Skin Test

The TB Skin Test, also called Mantoux tuberculin skin test, is a simple and painless test that can detect if a person has been infected with TB bacteria. During this test, a small amount of fluid containing TB protein (antigen) is injected under the skin of the forearm. A few days later, a healthcare provider will examine the injection site for any reactions. If the skin has a raised, red bump, it could indicate an infection with TB.

Advantages

The TB Skin Test is simple, quick, and has minimal side effects. In addition, it is inexpensive and widely available. The test is usually administered to people at high risk of getting TB, such as those who have been in contact with someone infected with TB, those with compromised immune systems, and healthcare workers.

Limitations

This test cannot differentiate between an active and latent TB infection. Also, the test may provide false-positive results in people who have been vaccinated with Bacillus Calmette-Guerin (BCG), a vaccine that is commonly used in countries where TB is prevalent. Therefore, the TB Skin Test is not a definitive diagnosis of TB and must be followed up with further testing, such as a chest X-ray or sputum culture.

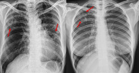
Chest X-ray Analysis

A chest X-ray is a diagnostic test that uses radiation to create images of the lungs and chest. It can help detect abnormalities such as masses, fluid in the lungs, or other changes due to TB. During a chest X-ray exam, the patient stands in front of an X-ray machine and takes a deep breath in while the image is being taken.

Advantages

A chest X-ray is a non-invasive procedure that requires no injections or medication. It can quickly reveal evidence of TB and can identify changes in the lung tissue that suggest an active infection. In addition, it is relatively inexpensive and widely available. The chest X-ray is often used as a preliminary screening test for TB.

Limitations

The chest X-ray cannot distinguish between active and latent TB infections. Furthermore, it can yield false negatives in patients who have early-stage TB, or whose immune system has not yet mounted a response to the TB infection. As a result, additional tests, such as sputum culture, may be required to confirm a diagnosis of TB.

Combining TB Skin Test and Chest X-ray Analysis

Combining the TB Skin Test and Chest X-ray Analysis can provide clinicians with valuable information about a person's TB status. Using both tests together can help identify people who are likely to have an active infection, and those who may have been exposed to TB but have not yet developed symptoms. When used together, these tests complement each other's limitations and improve diagnostic accuracy.

Table Comparison

Parameters of Comparison TB Skin Test Chest X-ray Analysis Combined Approach
Diagnostic Accuracy Less Accurate More Accurate Most Accurate
Ability to Distinguish Active vs. Latent TB Cannot Distinguish Cannot Distinguish Cannot Distinguish
Cost Inexpensive Relatively Inexpensive Relatively Inexpensive
Convenience and Accessibility Widely Available Widely Available Widely Available

Opinion

In my opinion, using both TB Skin Test and Chest X-ray Analysis can provide a powerful combination for optimal TB detection. These tests are easy to administer, cost-effective, and widely available. Undertaking both these tests together can greatly improve diagnostic accuracy and ensure timely management, leading to better patient outcomes. However, further studies need to be conducted to evaluate the efficacy of this combined approach in diagnosing TB infections.

Conclusion

TB is a global health concern that requires urgent attention. Early detection of TB is important to prevent the spread of the disease. Combining the TB Skin Test and Chest X-ray Analysis can provide a powerful combination for optimal TB detection. While both tests have their limitations, their combination complements each other's strengths, leading to better diagnostic accuracy. Clinicians should consider undertaking this combined approach in individuals who are at risk of TB infection to ensure timely management and better outcomes.

Thank you for taking the time to read about the importance of safeguarding your health against tuberculosis. The statistics don't lie - TB is a highly contagious disease that affects millions of people worldwide each year. That's why it's crucial to take proactive steps to detect and prevent its spread.

One of the most effective ways to safeguard your health is to undergo comprehensive TB skin testing and chest x-ray analysis. A combination of these two tests provides optimal detection, allowing healthcare professionals to identify and treat TB early on. This not only protects your own health but also helps prevent the spread of the disease to others.

By investing in your health and undergoing these tests regularly, you can take an active role in reducing the prevalence of TB. We encourage you to speak with your healthcare provider and learn more about these powerful tools for early detection. Together, we can work towards a healthier world free from the dangers of tuberculosis.

People Also Ask About Safeguard Your Health with Comprehensive TB Skin Test and Chest X-ray Analysis: A Powerful Combination for Optimal Detection!

  • What is a TB skin test?
  • A TB skin test is a test used to determine if someone has been infected with tuberculosis bacteria. This is done by injecting a small amount of fluid (called tuberculin) into the skin of the forearm and waiting to see if there is a reaction.

  • How accurate is a TB skin test?
  • The accuracy of a TB skin test can vary, but it is generally considered to be between 70-90% accurate. False negatives are possible if the person has a weakened immune system or if the test is not administered correctly.

  • What is a chest X-ray analysis?
  • A chest X-ray analysis is a medical imaging technique used to visualize the inside of the chest, including the lungs and heart. This can help detect abnormalities such as tuberculosis, lung cancer, or heart disease.

  • Why is combining a TB skin test and chest X-ray analysis important?
  • Combining a TB skin test and chest X-ray analysis can increase the likelihood of detecting tuberculosis in individuals who may have been exposed to the bacteria. While a TB skin test can detect an immune response to the bacteria, a chest X-ray analysis can help identify any abnormalities in the lungs that may be indicative of tuberculosis.

  • Who should get a TB skin test and chest X-ray analysis?
  • Individuals who have been exposed to someone with tuberculosis or who are at high risk of contracting the disease should consider getting a TB skin test and chest X-ray analysis. This includes healthcare workers, individuals with weakened immune systems, and those living in close quarters such as prisons or nursing homes.

Post a Comment for "Safeguard Your Health with Comprehensive TB Skin Test and Chest X-ray Analysis: A Powerful Combination for Optimal Detection!"